“I lost an organ and the weight loss jab left my tongue black and I couldn’t walk.”

Sarah Jayne Crawford, 32, started taking Wigobee in August 2025 after reaching 19 stone 9 pounds.

Sarah Jayne Crawford turned to Wegobee to lose weight for her wedding, but suffered horrific complications that required emergency surgery. Sarah Jayne Crawford’s tongue turned black after she started taking Wegoby in August 2025.(Image: Sarah Jayne Crawford/SWNS) A woman who switched to weight loss jab ahead of her wedding has issued an urgent warning. After … Read more

‘Constitutional emergency’: Psychiatric experts say Congress needs to confront mentally unstable President Trump, a common dream

'Constitutional emergency': Psychiatric experts say Congress needs to confront mentally unstable President Trump, a common dream

A group of four psychiatrists warned Congressional leaders on Monday that President Donald Trump has recently shown “all behavioral signs of a personality in serious crisis,” presenting a “constitutional emergency” that demands immediate action from lawmakers and administration officials. Jeffrey Sachs, a psychiatrist and Columbia University professor who helped write the letter, pointed to President … Read more

NewYork-Presbyterian Church agrees to enhance care for patients experiencing mental health crisis

NewYork-Presbyterian Church agrees to enhance care for patients experiencing mental health crisis

NewYork-Presbyterian Hospital has agreed to undertake a series of reforms to resolve allegations that the hospital system frequently puts patients in mental health emergencies at risk by failing to provide adequate oversight and allowing patients to be discharged from the hospital without authorization, the state attorney general’s office announced Monday. The settlement, which followed a … Read more

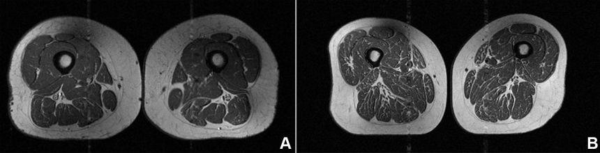
Ultra-processed food turns human thighs into marbled steaks | CNN

The diet of the woman on the left was 29.5% ultra-processed, and the diet of the woman on the right was 87.1% ultra-processed.

The image resembles a slice of well-marbled meat, reminiscent of a fine steak with abundant streaks of finely textured fat. But it’s not dinner. This is an MRI scan of the thigh of a 62-year-old woman who consumed 87% of her annual calories from ultra-processed foods. “This participant’s diet consisted primarily of cold cereal, chocolate … Read more

Why leading doctors choose this all-in-one vegan supplement

The photo shows a person's hand holding up a bottle of supplementV's sV Complete and two capsules. sV Complete is an all-in-one vegan supplement that the company claims is more than just a multivitamin.

This is a sponsored article* (What is this?) Research shows that vitamin supplements can help support nutrient adequacy, especially in at-risk groups. But the world of nutritional supplements and multivitamins can be opaque and confusing. It’s hard to go through the marketing and find the right product, especially when there are tens of thousands of … Read more

Scientists discover why bread causes weight gain without extra calories

Scientists discover why bread causes weight gain without extra calories

Bread has long been a cornerstone of the diet and has sustained society for generations. It is deeply integrated into daily life. But as obesity rates continue to rise, researchers are beginning to question whether this reliance on staple carbohydrates still makes sense in modern diets. Obesity increases the risk of many lifestyle diseases, making … Read more

12-3-30 What trainers actually think about training

12-3-30 Treadmill calorie calculation

When it comes to exercise, there are a lot of people who are beginners, newbies, and newbies. Avid enthusiast. Reluctant participants. And everyone in between is looking for the holy grail, the workout that gives you the most results with the least amount of time and effort. We live in the most scientifically advanced era … Read more

Experts say mushroom supplements can help with stress, sleep and energy

Experts say mushroom supplements can help with stress, sleep and energy

Given that there are 1.5 million different mushroom species in the world, how do you know which ones will be most effective as a supplement? Some may take you on a magical journey, while others may kill you. There are many other pizzas that are absolutely delicious. But for a select few, it could be … Read more

Creatine goes mainstream with Gen Z and Millennials

Young and healthy man drinking water inside the gym. - MDV Edwards // Shutterstock

Young and healthy man drinking water inside the gym. – MDV Edwards // Shutterstock Creatine goes mainstream with Gen Z and Millennials For decades, creatine has been associated with a specific type of consumer: athletes and gym goers who use creatine to progress through high-intensity training. Now, it’s coming in gummy form, and those who … Read more

After controversy, Lexington city board approves Chevy Chase mental health clinic

The building, located at 319 Duke Road, was originally built as a nursing home but has since housed a behavioral health center. Another mental health group is seeking conditional use permission for the site.

The building, located at 319 Duke Road, was originally built as a nursing home but has since housed a behavioral health center. Another mental health group is seeking conditional use permission for the site. Linda Blackford A chorus of boos and jeers erupted Monday night after the Lexington Board of Adjustment voted 4-2 to approve … Read more